Làm răng sứ Cercon – Răng sứ thẩm mỹ cao cấp
Thứ Ba, 23 tháng 2, 2016
Câu hỏi:
Thưa bác sỹ Hoàn Mỹ. Em có chiếc răng hàm bị vỡ khá lớn không biết tại sao mà không trám được. Bây giờ em ăn nhai khá khó khăn và thi thoảng còn đau âm ỉ nữa. Em muốn bọc răng sứ Titan nhưng nghe nói bọc răng sứ Cercon thì tốt hơn. Em hơi băn khoăn nên mong bác sỹ tư vấn giúp làm răng sứ Cercon có độ bền bao lâu ạ? Có được chục năm không thưa bác sỹ. (Minh Châu – Hà Nội).
Trả lời :
Chào bạn Minh Châu!
Rất cảm ơn bạn đã tin tưởng và chia sẻ băn
khoăn với chúng tôi. Về thắc mắc:"Làm răng sứ Cercon có độ bền tối đa bao nhiêu năm?"
của bạn, Nha khoa Hoàn Mỹ xin được giải đáp cụ thể như sau:
Làm răng sứ Cercon là gì?
Là dòng răng sứ không kim loại,
răng sứ Cercon được đánh giá là răng sứ có độ bền cao nhất hiện nay. Cấu trúc
của răng sứ Cercon được tạo nên hoàn toàn bằng khối sứ nguyên chất nên đảm bảo
tính thuần nhất, hoàn toàn không có sự kích ứng nướu như các loại răng sứ kim
loại thường.
So
với răng thật thì làm răng sứ
Cercon có độ chịu
lực cao gấp 5 lần với 900Mpa, điều này cho phép bạn ăn nhai thoải mái mà không
bị nứt vỡ. Đây có thể nói là dòng sứ tốt nhất hiện nay hoàn toàn thích hợp với
việc phục hình răng hàm - răng đóng vai trò ăn nhai chính trên khuôn hàm.
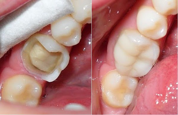
Làm
răng sứ Cercon cho độ bền chắc caoLàm răng sứ Cercon có độ bền bao lâu?
Răng
sứ Cercon đã được kiểm nghiệm có độ bền dao động từ 15-20 năm, thậm chí lâu hơn
nữa. Làm răng sứ Cercon có độ bền bao lâu không chỉ phụ thuộc vào
nguyên liệu cấu thành răng sứ mà yếu tố quan trọng khác là kỹ thuật phục hình
của nha sỹ cũng như cách thức chế tạo răng sứ của kỹ thuật viên.
Sở
dĩ có thể khẳng định như vậy là bởi việc chế tạo có chuẩn dấu hàm hay không,
lắp chụp răng sứ có sát khít viền nướu hay không sẽ quyết
định đến việc ăn nhai có ổn định không. Nếu kỹ thuật phục hình không tốt, răng
bị kênh vênh thì lực tác động sẽ không đều, dẫn đến việc răng sứ có thể bị nứt
vỡ.
Ngoài
ra, việc chăm sóc răng miệng cũng có ý nghĩa rất lớn đến độ bền của răng sứ
Cercon duy trì được bao lâu. Khi phần răng miệng sạch sẽ, không mắc các bệnh lý,
ăn nhai tốt thì răng sứ Cercon hoàn toàn có thể duy trì được độ bền tối đa.
Công nghệ giúp làm răng sứ Cercon là gì?
Muốn
đạt được hiệu quả tốt nhất khi làm răng sứ Cercon thì bạn nên thực hiện với công
nghệ CT 5 chiều - công nghệ bọc sứ mới nhất hiện nay. Đây là sáng tạo của bệnh
viện Forsyth danh tiếng, giúp phục hình cho hàng vạn ca răng bị nứt vỡ, răng xấu
với hiệu quả tốt.
-
Công nghệ mới giúp phục hình toàn diện răng bị vỡ chuẩn xác đến từng gờ rãnh với
sự hỗ trợ của máy quét dấu hàm tự động, hệ thống thiết kế răng sứ hoàn toàn trên
máy tính CAD/CAM. Chính nhờ các thiết bị tiên tiến mà việc bọc sứ diễn ra chuẩn
xác, không có sự sai lệch.
-
Răng sứ Cercon sau khi bọc có độ bền chắc cao, ăn nhai tốt, màu sắc sáng bóng tự
nhiên.
Cùng
với công nghệ CT 5 chiều được thực hiện bởi các nha sỹ giàu kinh nghiệm thì việc
duy trì độ bền tối đa của răng sứ Cercon là hoàn toàn có thể hiện thực. Bạn có
thể tham khảo thêm mức giá bọc răng sứ theo công nghệ CT 5 chiều TẠI ĐÂY
Bạn
vui lòng liên hệ với Nha khoa Hoàn Mỹ nếu có bất kỳ băn khoăn nào liên quan đến
làm răng sứ Cercon. Chúng tôi sẽ tư vấn cụ thể nhất cho bạn.
Bài liên quan
Home
Comments[ 0 ]
Đăng nhận xét